Kursy elektryczne- wymagania
Kursy elektryczne dedykowane są wszystkim tym, którzy chcą zdobyć nowe umiejętności, a także poszerzyć swoje dotychczasowe kwalifikacje zawodowe. W zależności od pożądanych kategorii wpisanych w certyfikat wydawany po ogłoszeniu pozytywnego egzaminu należy przejść odpowiednie do tego celu szkolenie elektryczne. Jakie…
Jaki asortyment oferuje sklep florystyczny?
Sklep florystyczny internetowy, obok innych oferujących elementy do dekoracji wnętrza, oferuje dodatki pochodzące wprost z natury. Coraz większą popularnością cieszą się naturalne, ekologiczne wyroby, dlatego też ozdoby florystyczne zdobywają rzesze entuzjastów wśród osób w każdym wieku. Jaki asortyment jest dostępny…
Gdzie wykonać dobrą protezę stomatologiczną?
Do kategorii protez stomatologicznych zalicza się szeroka gama uzupełnień, które wykonywane są na zamówienie. Gdzie można otrzymać dobrą protezę, która będzie estetyczna, wygodna i trwała? Protezy stomatologiczne – na NFZ i prywatnie Obecnie w sektorze protetyka stomatologiczna Poznań działa wiele…
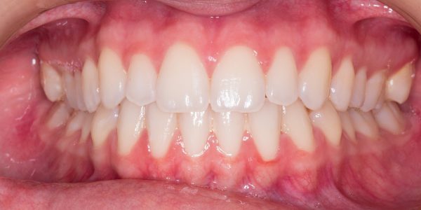
Licówki – co to jest i kiedy warto je założyć?
Licówki to cieniutkie nakładki, które mogą skorygować wygląd naszego uśmiechu. Jest to zabieg, który ma wpływ nie tylko na wygląd, ale przede wszystkim na samopoczucie pacjenta. O czym trzeba wiedzieć nim zdecydujemy się na założenie licówek? Licówki – co to…
Dlaczego protezy zębowe są tak popularne?
Aktualnie coraz więcej osób zdaje sobie sprawę z tego, że wypełnienie ubytków w postaci brakującego uzębienia jest obecnie bardzo ważne. W dzisiejszych czasach bardzo liczy się nasz wygląd zewnętrzny. Warto jednak dbać o siebie jedynie dla własnej satysfakcji, ponieważ tak…
Wybielanie zębów w domu czy u stomatologa?
Biel zębów jest niezwykle pożądanym atrybutem, nie tylko zębów, ale całego wizerunku, dlatego, gdy nie można się nią pochwalić, bo zęby są przebarwione, marzy się o ich wybieleniu. Czy lepiej będzie zrobić to w domowych warunkach, czy u stomatologa w…
Implanty zębów wcale nie takie drogie
Już chyba każdy, nawet osoby, którym nie brakuje ani jednego zęba, doskonale zdają sobie sprawę z tego, że implanty zębów Poznań są najlepszym zastępstwem dla naturalnych zębów w przypadku ich utraty. Ciągle jednak rozwiązanie to bywa postrzegane jako bardzo kosztowne…
Dlaczego produkowane przez Ringke case na telefon są ostatnio tak popularne?
Smartfony są urządzeniami, bez których nie można dziś funkcjonować, będąc wykorzystywanymi do bardzo wielu zadań. Ponieważ posiadają one wiele funkcji, a do tego przechowuje się na nich wiele cennych danych, w tym często bardzo osobiste pliki i firmowe dokumenty, powinno…
Nie warto zwlekać z leczeniem stomatologicznym
Wielu z nas unika leczenia zębów. Powody są różne, najczęściej jednak można je sprowadzić do jednego – strachu przed bolesnym leczeniem. Niekiedy unikanie dentysty ma związek ze świadomością wysokich kosztów takiego leczenia. Owszem, można znaleźć także dentystę leczącego na NFZ,…



















